22-річний пацієнт успішно проходить реабілітацію після високотехнологічної операції на серці у Вінниці
12:08 13.03.2024
264

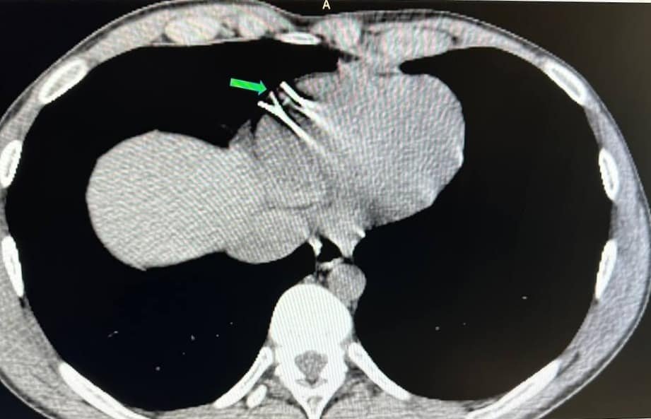
Вінницька обласна клінічна лікарня імені М. І. Пирогова повідомила, що 22-річний пацієнт зазнав проникаючої травми грудної клітини. Діагностичні процедури виявили два чужорідні тіла - металеві фрагменти у стінці правого шлуночка серця.

«7 березня, використовуючи гібридну операційну залу лікарні, було здійснено високотехнологічне хірургічне втручання без зупинки серця та кровообігу через мінімальний доступ - міні j-стернотомію. Операція включала використання передових методів рентгеннавігації та магнітних інструментів», - зазначається у звіті лікарні.

За процедурою стежила команда кардіохірургів з ВОКЛ ім. М.І. Пирогова під керівництвом Сергійчука О.Л., яка співпрацювала з експертами Національного інституту серцево-судинної хірургії імені М.М. Амосова на чолі з Руденко С.А.

«Застосування мінімально інвазивного методу міністернотомії для лікування пацієнта з серцевим пораненням дозволило скоротити розмір хірургічної травми та час необхідний для післяопераційної реабілітації, відповідно до найвищих міжнародних медичних стандартів.

Пацієнт відчуває себе добре і наразі проходить процес післяопераційного відновлення», - інформують з медичного закладу.

Автор: Павло Петрушко
Читайте також